ONE OFTEN OVERLOOKED fitting parameter in designing a scleral contact lens for a patient is the base curve of the lens. When fitting a corneal GP lens, the base curve is one of the most important fitting parameters. However, because a scleral lens does not touch the corneal surface of the eye, it is often ignored when focusing on overall sagittal depth and vault of the lens.
Have you ever diagnostically fit a scleral lens patient and wondered why the over-refraction ends up excessively higher in minus or plus than your estimate based on the baseline refraction? It comes down to the optics of the base curve and the power of the tear reservoir being created by the lens.
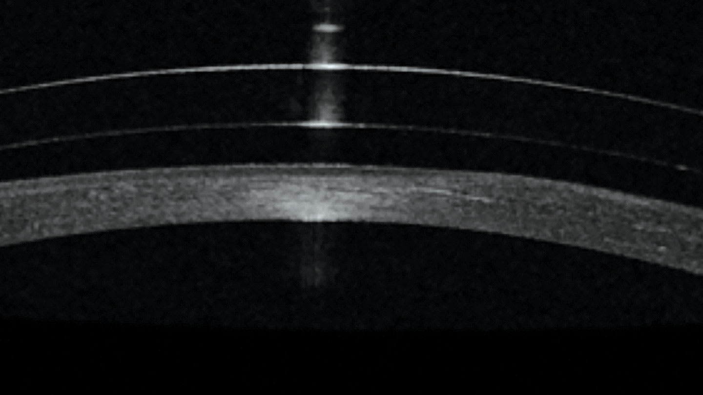
Selecting a base curve that is much steeper than the patient’s cornea will end up with an excessively plus tear reservoir between the lens and the cornea (Figure 1 vs Figure 2). A high minus over-refraction will result, and the resulting lens power will have to be ordered to allow the patient to see clearly. Conversely, if a base curve is flatter compared to the corneal curvature, a minus tear reservoir will be created, creating a need for a plus power to achieve clarity with the lens.
In addition to affecting the lens power, using a less than ideal base curve can affect the midperiphery of your scleral lens fit. If the base curve of the lens is too steep for the cornea, which can be the case in corneas following radial keratotomy or post-laser-assisted in situ keratomileusis, the lens may have midperipheral touch even though it has adequate clearance centrally.
If the base curve is too flat, one might have excessive midperipheral clearance, causing an aggressive landing transition and the possibility of increased conjunctival prolapse due to overvaulting the midperipheral and limbal areas of the cornea (Fisher et al, 2021).
Of course, choosing a base curve based on the best fit sphere of a cornea with advanced ectasia or a very oblate shape may still result in variations in clearance over the central cornea. It can be impossible to create a “textbook” scleral lens fit on complex corneas. There are times when one might need to attempt to reduce lens thickness for an aphakic patient by fitting the base curve steeper or reduce heaviness on a high myope by making a more oblate lens to reduce power.
If you are spinning your wheels with a fit, take a look at the overall shape of the tear reservoir and midperipheral clearance. Better alignment with a scleral lens base curve is a great way to optimize visual quality and choose a more centered overall lens.
Reference
1. Fisher D, Collins MJ, Vincent SJ. Conjunctival prolapse during open eye scleral lens wear. Cont Lens Anterior Eye. 2021 Feb;44(1):115-119. doi: 10.1016/j.clae.2020.09.001


